1-O QUE É A DPOC

O QUE É A DPOC?
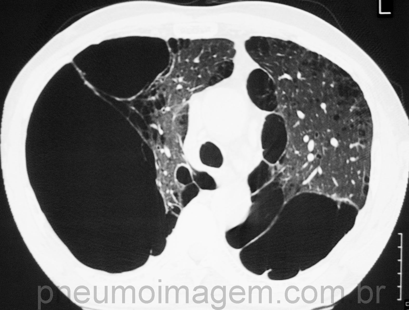
Tomografia de tórax com enfisema pulmonar.
DPOC é uma sigla que significa Doença Pulmonar Obstrutiva Crônica. É uma doença que acomete preferencialmente os fumantes e engloba a bronquite crônica e o enfisema pulmonar.
 
O ar que penetra pelo nariz e pela boca chega ao interior dos pulmões percorrendo a traqueia e os brônquios. Na pessoa que tem DPOC ocorre uma inflamação crônica dos brônquios (bronquite crônica) e uma destruição dos alvéolos, que são as células que formam os pulmões, o que origina o enfisema pulmonar (foto). A DPOC tem evolução progressiva e irreversível.

QUAL O RISCO DE SE TER DPOC?
A DPOC é causada pelo cigarro e acomete cerca de 20% a até 50% dos fumantes. Estima-se que no Brasil existam cerca de 50 milhões de fumantes. Portanto, em nosso país devem existir pelo menos  10 milhões de pacientes com DPOC. Em média, a pessoa precisa ter fumado pelo menos por 20 a 25 anos. Por isso, o diagnóstico é feito geralmente após os 40 anos de idade. Pessoas que utilizam fogão a lenha por muitos anos também fazem parte do grupo de risco.

A DPOC ACOMETE AMBOS OS SEXOS?
Por estar diretamente relacionada ao tabagismo, a DPOC afeta pessoas que tenham fumado por muito tempo (geralmente mais de 20 anos) e, logo, comumente são pacientes com mais de 40 anos. Em sua maioria, são homens, mas também têm aumentado os casos de mulheres com DPOC uma vez que o nível de tabagismo no público feminino aumentou nas últimas décadas. Algumas pessoas possuem uma predisposição genética que pode levar à DPOC mesmo com pouca ou nenhuma exposição ao tabaco, mas isso é raro de se encontrar.

QUAIS OS SINTOMAS DA DPOC?
Geralmente o doente apresenta tosse e falta de ar. A tosse pode ser seca, mas, habitualmente, ocorre expectoração pela manhã. No início dos sintomas é comum a pessoa apresentar apenas um pigarro constantemente. A falta de ar é progressiva, sendo no início apenas aos esforços (como subir uma escada ou uma ladeira). Com a evolução da doença, a falta de ar acaba se tornando limitante, impedindo o doente de realizar as mínimas atividades habituais do dia a dia, como tomar banho, pentear os cabelos e até mesmo comer. Em grau muito grave, é necessária a suplementação de oxigênio para que a pessoa possa sobreviver.

O QUE É UMA CRISE DE EXACERBAÇÃO DA DPOC?
A DPOC pode evoluir com infecções respiratórias de repetição que levam a uma acentuação aguda dos sintomas da doença. Essa situação é comumente conhecida como “crise de bronquite”, e cientificamente chamada de exacerbação da doença. Em muitas dessas situações, há necessidade de internação para o tratamento dessa crise. Com o passar do tempo essas crises podem aumentar em número e em intensidade. A única maneira de impedir a evolução da doença é a cessação do tabagismo.
 
COMO SABER SE EU TENHO DPOC?
Se você tiver mais de 40 anos, for fumante ou ex-fumante e responder “sim” a pelo menos uma das questões abaixo, procure seu médico para avaliação:
- Você tosse várias vezes na maior parte do tempo?
- Você expectora na maioria dos dias?
- Você tem mais falta de ar que seus amigos da mesma faixa etária?

QUAL A DIFERENÇA ENTRE A DPOC E A ASMA?
É muito importante fazer esta diferenciação. “Bronquite” é um termo genérico que significa inflamação dos brônquios. Quando ela é de causa alérgica, isso ocorre geralmente desde a infância ou adolescência e recebe o nome de “asma”. Essa inflamação da asma é diferente da ‘bronquite crônica’ da DPOC, que é causada pelo tabagismo e se desenvolve apenas na idade adulta após anos de consumo de cigarros.

Na asma a pessoa apresenta uma reação exagerada com contração das paredes dos brônquios (chama-se de hiper-reatividade) a estímulos externos, que podem ser poluentes ambientais, ar frio, ou mesmo domésticos, como os ácaros, animais de estimação ou fumaça do cigarro. Isso leva a uma contração dos brônquios e dificuldades à passagem do ar, provocando falta de ar. O tratamento, feito à base de drogas anti-inflamatórias e broncodilatadoras por via inalatória, trata a causa do processo, reverte a inflamação e previne o portador de desenvolver crises quando exposto a estes fatores.
 
Já a DPOC, que é um misto de bronquite crônica e enfisema pulmonar, provoca alterações irreversíveis nos brônquios e nos pulmões dos fumantes. Como é causada pelo cigarro, a doença se desenvolve apenas na idade adulta e após muitos anos de tabagismo. Os tratamentos são para alívio dos sintomas, mas não reverte a causa do problema. A melhor prevenção para essa doença é a cessação do tabagismo.

Para saber mais sobre a asma em nosso site, clique aqui.
 

Compartilhe:

CONTATOS

SANTANA
Rua Dr. Zuquim, 449 - conj. 74

Telefones: 55 (11) 2973-2440 / 2283-0037 / 94567-6766

Mauro Gomes - Doctoralia.com.br

Marque sua consulta

Tira Dúvidas

Inaladores"

Tabagismo"